

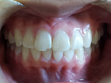
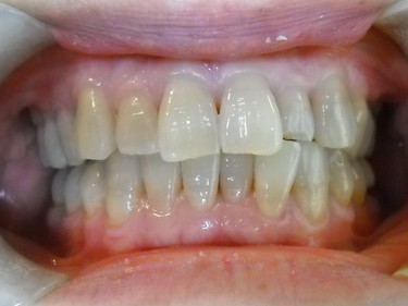
We straightened this high schooler's teeth with multiple sets of Clear Aligners INVISIBLE TRAYS. She did NOT have "metal mouth" in her senior pictures!
Patient Photos Depicting:
Clear Aligners Invisible "Braces"
Note: Patients depicted in photos have provided their consent to display their pictures online. Results may vary.



We can improve the facial profile with Clear Aligners too. In this case we brought out her chin to reduce the double chin.
Patient Photos Depicting:
Clear Aligners Invisible "Braces"
Note: Patients depicted in photos have provided their consent to display their pictures online. Results may vary.



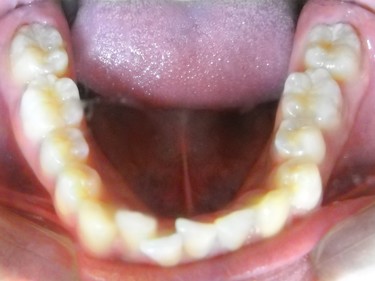
After finished Clear Aligners , the patient did deep teeth whitening for her tetracycline stained teeth.
Patient Photos Depicting:
Clear Aligners Invisible "Braces"
Note: Patients depicted in photos have provided their consent to display their pictures online. Results may vary.

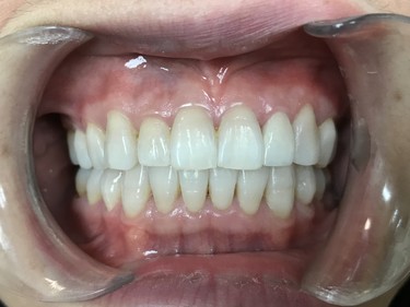
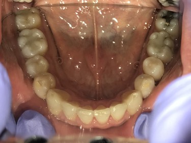
A severe crowding case. We did it without teeth extraction.
Patient Photos Depicting:
Clear Aligners Invisible "Braces"
Note: Patients depicted in photos have provided their consent to display their pictures online. Results may vary.

Severe crowding on a 40+ year old male. We finish it without extracting teeth.
