Call Us (734) 425-7888
Visit Us Livonia, MI
Schedule Online
Call
Book
Visit
(734) 425-7888
Livonia, MI
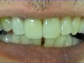
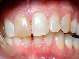
Patient had a discolored asymptomatic front tooth for years. Our tests revealed a non-vital tooth with necrotic pulp(nerve) tissue and chronic bone infection in the root tip area. Root canal and porcelain crown were then performed.
Phone: (734) 425-7888
Email: [email protected]
Phone: (734) 888-8886
29522 Six Mile Rd, Ste A, Livonia, MI 48152
3250 Plymouth Rd, Ste 102, Ann Arbor, MI 48105
Thank you for Submitting your request. Our Office will get back to you.