

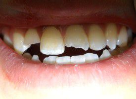
Before: Chipped front tooth. After: Restored happy smile.
Patient Photos Depicting:
Composite (White) Fillings
Note: Patients depicted in photos have provided their consent to display their pictures online. Results may vary.

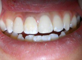
Before: A 14 year old broke his front teeth on Saturday night. After: The teeth are restored the next day. He's free of pain and able to go to school on Monday without being embarrassed.
Patient Photos Depicting:
Composite (White) Fillings
Note: Patients depicted in photos have provided their consent to display their pictures online. Results may vary.

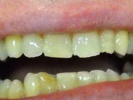
Before: a wide space between the central front teeth. After: The composite bonding/filling creates a more feminine and attractive smile.
Patient Photos Depicting:
Composite (White) Fillings
Note: Patients depicted in photos have provided their consent to display their pictures online. Results may vary.

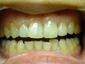
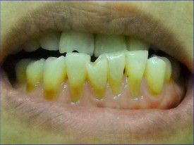
The enamel abrasion and exposed root surfaces make her teeth look very yellow. She can't afford veneers. Our composite bondings protected the teeth and lightened her smile significantly.
Patient Photos Depicting:
Composite (White) Fillings
Note: Patients depicted in photos have provided their consent to display their pictures online. Results may vary.

