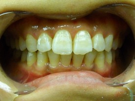
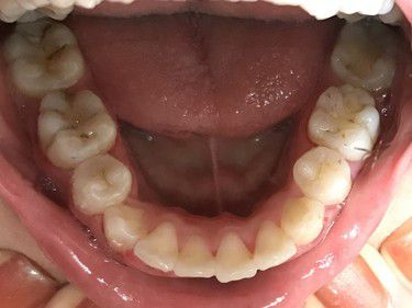
Before: She has had braces on for 3 years before she came to our office. After: We restarted her braces and changed her smile. She has a more attractive smile now! We gave her a more defined chin too (see profile picture).
Patient Photos Depicting:
Orthodontic Treatment (Braces)
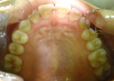
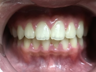
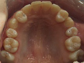
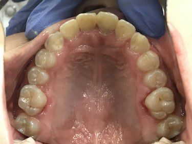
Note: Patients depicted in photos have provided their consent to display their pictures online. Results may vary.The intraoral pictures of the patient above.
Patient Photos Depicting:
Orthodontic Treatment (Braces)
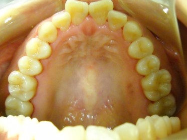
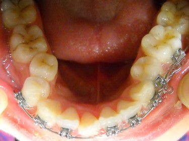
Note: Patients depicted in photos have provided their consent to display their pictures online. Results may vary.When we see a facial imbalance, our treatment goal always include changing the face too, not just straightening the teeth. Here is another example of a more charming face that our work created.
Patient Photos Depicting:
Orthodontic Treatment (Braces)
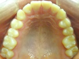
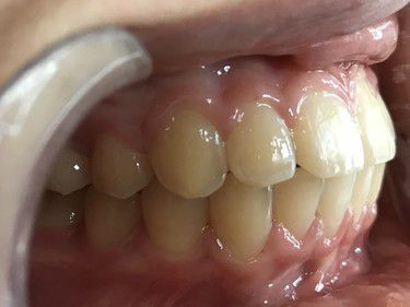
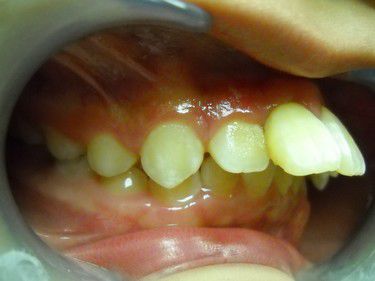
Note: Patients depicted in photos have provided their consent to display their pictures online. Results may vary.When we see a facial imbalance, our treatment goal always includes treating the face, not just the teeth. Here is a good example of how the face can be changed after our brace treatment. For this particular boy, other dentists say they can't save the two upper front teeth. But we did it!
Patient Photos Depicting:
Orthodontic Treatment (Braces)
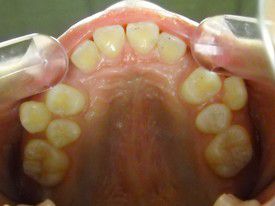
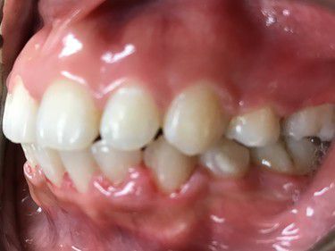
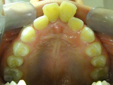
Note: Patients depicted in photos have provided their consent to display their pictures online. Results may vary.The intraoral pictures of the patient above.
Patient Photos Depicting:
Orthodontic Treatment (Braces)
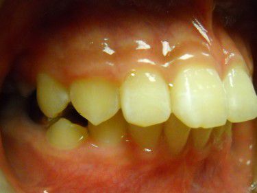
Note: Patients depicted in photos have provided their consent to display their pictures online. Results may vary.Sure we can change the face with braces. And we did it without extracting his upper teeth! Don't you think he is very handsome now?
Patient Photos Depicting:
Orthodontic Treatment (Braces)
Note: Patients depicted in photos have provided their consent to display their pictures online. Results may vary.Another example of changing face and teeth without teeth extractions.














































