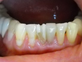
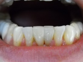
Procelain Veneers

Location

29522 Six Mile Rd, Ste A, Livonia, MI 48152

Phone: (734) 425-7888

Email: [email protected]

  • MON: 10:00 am - 7:00 pm
  • TUE: Closed
  • WED - THU: 9:00 am - 6:00 pm
  • FRI: By appointments only.
  • SAT: 9:00 am - 3:00 pm
  • SUN: Closed
Contact Us

3250 Plymouth Rd, Ste 102, Ann Arbor, MI 48105

Phone: (734) 888-8886

Email: [email protected]

  • MON - TUE: 9:00 am - 6:00 pm
  • WED - THU: Closed
  • FRI: 9:00 am - 5:00 pm
  • SAT: 9:00 am - 3:00 pm
  • SUN: Closed
Contact Us