

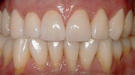
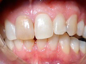
Before: Patient needs Upper Arch Rehabilitation. Presents with Upper Anterior teeth that are stained, incisal edges (tooth edge) are worn down and chipped, and gumline recession is present. After: Smile restored with placement of 8 Upper All Porcelain Crowns (Caps). Gumline and incisal edges are now uniform. Patient now has longer, better shaped teeth to enhance the smile line and aid in chewing/biting function.
Patient Photos Depicting:
Dental Crowns (Caps)
Note: Patients depicted in photos have provided their consent to display their pictures online. Results may vary.

Before: Patient has a bluish gray crown that doesn't match the other teeth and irritates the gum. After: A e-max porcelain crown is made to perfectly match the other tetracycline stained teeth and provide ultimate fit in the gum area. Better news, he has a girl friend now.
Patient Photos Depicting:
Dental Crowns (Caps)
Note: Patients depicted in photos have provided their consent to display their pictures online. Results may vary.

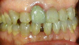
Patient had a discolored asymptomatic front tooth for years. Our tests revealed a non-vital tooth with necrotic pulp(nerve) tissue and chronic bone infection in the root tip area. Root canal and porcelain crown were then performed.
Patient Photos Depicting:
Dental Crowns (Caps)Root Canal Treatment
Note: Patients depicted in photos have provided their consent to display their pictures online. Results may vary.

Her old porcelain-fused-to-metal crowns on the upper central teeth discolored her gum line. We made her new porcelain-fused-to-metal crowns and eliminated the problem.
Patient Photos Depicting:
Dental Crowns (Caps)
Note: Patients depicted in photos have provided their consent to display their pictures online. Results may vary.

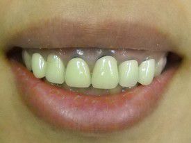
She never liked the old crowns on her two central front teeth because they look "too white and fake". We replaced them with the new crowns and she's happy because they "look much more natural".
Patient Photos Depicting:
Dental Crowns (Caps)
Note: Patients depicted in photos have provided their consent to display their pictures online. Results may vary.

Broken tooth is saved by a crown
Patient Photos Depicting:
Dental Crowns (Caps)
Note: Patients depicted in photos have provided their consent to display their pictures online. Results may vary.

The new crowns closed the gap in the center of her teeth.
Patient Photos Depicting:
Dental Crowns (Caps)
Note: Patients depicted in photos have provided their consent to display their pictures online. Results may vary.

Patient Photos Depicting:
Dental Crowns (Caps)
Note: Patients depicted in photos have provided their consent to display their pictures online. Results may vary.

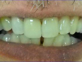
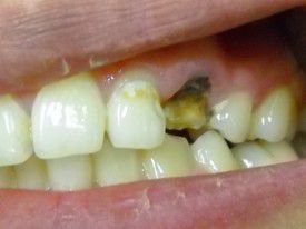
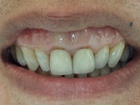
Before: He almost lost this front tooth. After: We restored it with a crown.
Patient Photos Depicting:
Dental Crowns (Caps)
Note: Patients depicted in photos have provided their consent to display their pictures online. Results may vary.

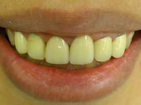
We can make a single crown to match another tooth perfectly, so that patient does not have to do both crowns.
Patient Photos Depicting:
Dental Crowns (Caps)
Note: Patients depicted in photos have provided their consent to display their pictures online. Results may vary.

We matched the right central tooth perfectly with the left one. Saved her quite a few hundred dollars by doing just one crown instead of two.
Patient Photos Depicting:
Dental Crowns (Caps)
Note: Patients depicted in photos have provided their consent to display their pictures online. Results may vary.

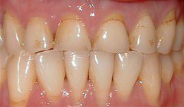
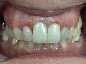
Decay under the old corwns are removed and new crowns are made.
Patient Photos Depicting:
Dental Crowns (Caps)
Note: Patients depicted in photos have provided their consent to display their pictures online. Results may vary.

He broke most of this central tooth and the fracture is below the gum line. Many dentists told him it is not savable. But we saved it!
