

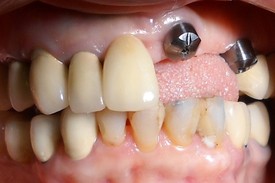
Not every patient have the ideal bone quality for implant placement. The surgeon could not place the implants in the ideal locations in this situation. However, we were able to overcome the problem and resume patient's natural smile.
Patient Photos Depicting:
Dental Implants
Note: Patients depicted in photos have provided their consent to display their pictures online. Results may vary.

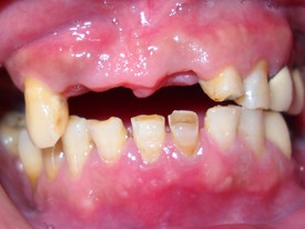
He lost many teeth during an accident. We gave his smile back by doing an implant bridge.
Patient Photos Depicting:
Dental Implants
Note: Patients depicted in photos have provided their consent to display their pictures online. Results may vary.

Patient Photos Depicting:
Dental Implants
Note: Patients depicted in photos have provided their consent to display their pictures online. Results may vary.

Patient Photos Depicting:
Dental Implants
Note: Patients depicted in photos have provided their consent to display their pictures online. Results may vary.

Patient Photos Depicting:
Dental Implants
Note: Patients depicted in photos have provided their consent to display their pictures online. Results may vary.

Before: The patient's front tooth was missing, thus affecting his oral functionality and aesthetics.
After: Our dentist replaced the missing tooth using dental implants, thus restoring their oral functionality and aesthetics.
